www.frgviana-nedv.ru - Женский сайт о здоровье и красоте
Недавно опубликованное:
1. Самые лучшие книги постапокалипсис: выживание (1.9.2019)
2. Как сделать декоративные подушки своими руками (29.8.2019)
3. Маринованная скумбрия (27.8.2019)
4. Фруктовая диета (25.8.2019)
5. У Елены Темниковой пополнение в семействе (23.8.2019)
6. Гуляш из свинины (21.8.2019)
7. О настоящей красоте (19.8.2019)
8. Имбирные пряники с глазурью (17.8.2019)
9. Как стать представителем Эйвон через интернет (15.8.2019)
10. Свадьбы легендарных личностей: образы фото (13.8.2019)

> Перейти на ГЛАВНУЮ

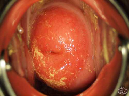
Цервицит шейки матки

Опубликовано: 13.12.2012

Цервицит шейки матки

Назначаются на второй стадии лечения, когда устранены острые проявления цервицита. С целью восстановления флоры влагалища применяют суппозитории, которые необходимо использовать в течение дней. Для этого выписывают препараты. Бифидумбактерин, Ацилакт или.

Физиотерапия довольно часто применяется в гинекологии для терапии различных заболеваний. Лечение цервицита в острой форме осуществляется посредством процедур. УВЧ, которыми воздействуют на нижнюю область живота.

Продолжительность курса составляет сеансов.

Продолжительность курса составляет сеансов

На хронический цервицит воздействуют электрофорезом с магнием, внутривлагалищными грязевыми тампонами, процедурами. СМТ и вагинальной лазеро терапией.

При лечении цервицита свечами нужно правильно подбирать тип препаратов, чтобы они боролись с возбудителем патологии. Противо грибковые суппозитории. Нистатин используются в случае кандидозной формы, противовирусные. Ацикловир при вирусной, а противомикробные. Тержинан, Бетадин при бактериальной форме цервицита. Подбор суппозиториев осуществляет лечащий врач, учитывая общую картину заболевания. Кроме того, для терапии цервицита есть ещё и комбинированные препараты, сочетающие в себе антибактериальный эффект и снимающие воспаление. К таким препаратам можно отнести суппозитории.

При лечении цервицита свечами нужно правильно подбирать тип препаратов, чтобы они боролись с возбудителем патологии

Свечи с содержанием гормонов чаще всего применяют при лечении хронического цервицита, сопровождаемого утолщением слизистой оболочки маточной шейки. Самым популярным гормональным препаратом для терапии этой патологии являются суппозитории. Кроме того, это средство также выпускается в форме таблеток и крема. Вагинальные суппозитории обладают таким эффектом при лечении цервицита ликвидируют пораженные ткани и способствуют появлению нового здорового слоя клеток борются с выделениями устраняют воспалительный процесс, оказывают обеззараживающее воздействие. При наличии церцевита лечение суппозиториями нужно начинать через несколько дней после завершения месячных. Для полного курса потребуется десять свечей, которые нужно вставлять внутрь влагалища на ночь через день.

При наличии какихлибо побочных эффектов нужно прекратить использование препарата, и нанести визит гинекологу.

Хранить суппозитории от цервицита предпочтительно в холодильнике. Поскольку консервативная терапия довольно часто оказывается неэффективной при лечении запущенного цервицита, то большинство женщин задаются вопросом как лечить эту патологию. Лечение хронического цервицита в большинстве случаев нуждается в применении хирургических методов. Во время этой процедуры патологические ткани прижигаются посредством жидкого азота.

Процедура совершенно безболезненна, восстановительный период после неё занимает полтора или два месяца. При использовании этой методики пораженный участок прижигают посредством лазерного луча. Реабилитационный период после такого лечения составляет один месяц. На пораженную цервицитом область воздействуют электрическим током. Этот метод довольно травматичен, поэтому восстановление длится два месяца. Радиовол новое прижигание.

Терапевтический эффект достигается в результате обработки пораженного места при помощи радиоволн. Для восстановления организма потребуется один месяц. После проведения хирургических манипуляций по лечению цервицита назначаются влагалищные свечи с противовоспалительным воздействием. Полижинакс, Тержинан, а также иммуно стимулирующие средства. Многие женщины задаются вопросом, можно ли вылечить цервицит при помощи народной медицины.

Полностью избавиться от этой патологии нетрадиционными методами нельзя, но правильно подобранные рецепты могут стать хорошим дополнением к консервативной терапии.

Перед применением любого средства лучше проконсультироваться с врачом. Особой популярностью в лечении цервицита шейки матки пользуются такие народные рецепты. Целебный отвар из коры дуба. Необходимо взять столовую ложку дубовой коры и всыпать её в половину литра кипятка, прокипятить на умеренном огне на протяжении минут. После того, как отвар остыл, его нужно процедить. Применять трижды в день для влагалищных спринцеваний.

Смешать в равных частях листья подорожника и шалфея, траву ясменника и лапчатки гусиной, корень цикория, исландский мох и соцветия сирени.

Всыпать стлэтого сбора в металлическую тару, затем влить литр кипятка, потомить на огне минут пятнадцать. Жидкость сцедить, а оставшийся жмых выкинуть. Применять ежедневно для влагалищных спринцеваний.

Масляная мазь из разнотравья для самодельных лечебных тампонов. Смешать в одинаковом количестве траву шалфея, полыни и чистотела, корень одуванчика и горца змеиного, соцветия сирени, льняное семя и листья кипрея. Взять грамм этой смеси и измельчить до порошкообразного состояния, залить полулитром воды и варить до тех пор, пока общий объём не уменьшится вдвое.

После этого влить гртоплёного сливочного масла и оставить на плите ещё на минут. Убрать с огня и влить мл глицерина. Использовать этот состав для пропитки тампонов, которые вводить на ночь во влагалище.

Стоит помнить, что перед использованием этих средств нужно обсудить возможность их применения с гинекологом. Гораздо проще предпринять профилактические меры, чем потом лечить заболевание.

С целью предупреждения цервицита необходимо систематически посещать гинеколога два раза в течение годараз в год делать кольпоскопию использовать контрацептивы с целью предотвращения нежелательной беременности и для защиты от. ЗПППукреплять иммунитет нормальное питание, физические нагрузки, приём витаминных комплексов упреждающие меры по предотвращению опущения репродуктивных органов комплекс. Кегеля, отказ от поднятия тяжелых предметов использование гормоно замещающей терапии в период менопаузы своевременное лечение заболеваний мочеполовой сферы.

Оставить комментарий:

 

Для того чтобы оставлять комментарии, необходимо Зарегистрироваться

2016 (c). связь с нами