> Перейти на ГЛАВНУЮ Рак мочевого пузыря у мужчин: симптомы, причины,Опубликовано: 25.11.2010
Опухоль плоско клеточного класса. По частоте возникновения занимает второе место. Главная причина развития хронический цистит. Аденокарци нома, лимфома, карцинома и другие встречаются достаточно редко, но полностью исключать их при постановке диагноза не рекомендуется. Вернуться к оглавлению. У мужчин, которые имеют вредную привычку курить, риск заболеть на рак мочевого пузыря очень возрастает.
Над выявлением главных причины, вызывающих развитие раковых клеток, ученые и врачи работают до сих пор. До настоящего времени определены факторы, увеличивающие риск развития онкологии. Они заключаются в следующем. Эта вредная привычка стоит на первом месте среди факторов, пред располагающих к развитию злокачественных образований.
Сигаретный дым содержит большое количество химикатов, которые перерабатываясь оседают в моче. Тем самым они воздействуют на слизистый слой пузыря. Промышленная вредность. Продолжительная работа с химическими веществами краситель, растворитель, анилин и другие. Хроническое течение заболеваний мочевыводящих путей цистит, шистозоматоз, мочекаменная болезнь. Радиоактивное облучение при лечении органов малого таза может спровоцировать рост злокачественных клеток в мочевом пузыре. Этот фактор не является основным, но исключать его полностью нельзя. Наследственная передача генов может создать генетическую предрасположенность к злокачественной патологии. Вернуться к оглавлению. От глубины зло качественного процесса зависит развитие стадии рака мочевого пузыря. На этом этапе раковые клетки можно обнаружить непосредственно в пузыре, проникновения в стенки органа еще нет. Прогноз положительного лечения составляет при своевременной диагностике и устранении пред располагающих факторов стадия. Поражение затрагивает слизистую оболочку. 
Симптоматика может отсутствовать. Клетки разрастаются быстрыми темпами.
При своевременной диагностике шансы на выздоровление большие стадия. Злокачественное образование переходит в мышечный слой, но полного прорастания еще нет. Шанс на выздоровление составляет около. Выделяют две фазы развития стадии.
АПоражен внутренний слой мышц, клетки разрастаются в их пределах.
ВПоражается внешний мышечный слойстадия. Происходит врастание в поверхностный слой и поражается жировая оболочка. Вероятность остановить разрастание раковых клеток в. Выделяют подстадии. АРаковые клетки проросли в поверхностный слой, но обнаружить их можно только под микроскопом. ВНовообразование просматривается на внешней стенке органастадия. Последняя, тяжелая стадия. Новообразование затрагивает соседние органы, прорастает в лимфатические узлы, поражает тазовые кости. У больного появляются сильные боли, кровь в моче.
Добиться положительного результата при поражении внутренних органов невозможно. Лечение направлено на облегчение состояния больного. Вернуться к оглавлению. Раковые новообразования характерны тем, что на начальных стадиях они никак свои признаки не проявляют. У рака мочевого пузыря й стадии характерные признаки могут отсутствовать. Важным моментом в такой ситуации является прислуши вание человека к своим ощущениям. Любые изменения в ежедневных процессах важны например, неприятные ощущения при мочеиспускании и становятся основанием для проведения инструментальной диагностики. В том случае, когда онкология проходит первые стадии развития, появляются специфические и не специфические симптомы рака мочевого пузыря. К специфическим местным признакам относятся боль при опорожнении мочевого пузыря ощущение полного пузыря не до конца опорожненного болевые ощущения при пальпации низа животакровь в моче. Общие признаки упадок силобщая слабость потеря в весе особенно за короткий промежуток времени. Вернуться к оглавлению. Поскольку симптомы заболевания на начальных этапах развития могут отсутствовать, при появлении малейших изменений в общем самочувствии, необходимо обращаться к врачу. Первое место в постановке диагноза занимают лабораторные и инструментальные методы. Диагностика рака мочевого пузыря невозможна без следующих процедур.
Общий анализ мочи. Проверяется на наличие крови, лейкоцитов и белков, что свидетельствует о воспалите льном процессе. Биохимический анализ крови на онкомаркеры.
При помощи микроскопа проверяется моча на наличие раковых клеток. УЗИСамый быстрый и простой метод исследования. Его применяют на первичном и повторном осмотрах.
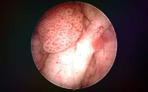
Такой метод позволяет рассмотреть локализацию новообразования на поверхностных стенках органа и внутри. Исследование внутренней поверхности органа эффективный метод для постановки диагноза и дальнейшего лечения. Через мочеиспускательный канал вводится цистоскоп в мочевой пузырь. На конце прибора прикреплена камера, которая показывает четкую картину происходящего. При обнаружении новообразований, берется материал на биопсию. Проводится гисто логическое исследование ткани пузыря. Метод позволяет с высокой точностью подтвердить опровергнуть диагноз и установить тип рака. КТРентгеновские излучения помогают отсканировать полностью исследуемые органы. Комплексное использование методов диагностики предоставляет максимальную информацию, которая необходима для установления диагноза и назначения лечения. Вернуться к оглавлению. Если после проведенной диагностики подтвердилась локализация раковых клеток в слизистой, новообразование считается поверхностным. Тогда лечение рака мочевого пузыря у мужчин проводится без операционным способом. Консервативное лечение проводится при и стадиях болезни, до тех пор, пока не проявляется характерная симптоматика.
Консервативное лечение включает химиотерапию, лучевую терапию, иммуно терапию. Вернуться к оглавлению. Химиотерапия, как метод консервативного лечения, предназначена для прекращения роста раковых клеток либо их ликвидации.
Раньше этот метод консервативного лечения считался мало эффективным, и проводился только, как вспомогательный. В последнее время были разработаны около химио препаратов, оказывающих положительный эффект. Цисплатин, Адриамицин, Винбласин и другие. Лекарства вводятся как непосредственно в орган, лимфатическую систему, так и внутриартериально.
Внутрипузырная химиотерапия используется после проведения хирургического вмешательства. Отмечают высокий риск развития побочных эффектов. Вернуться к оглавлению. Как самостоятельное лечение ее используют крайне редко.
Лучевая терапия при раке мочевого пузыря используется в случае невозможности проведения операции.
Гораздо реже ее используют в профилактических целях. После проведения лучевой терапии новообразование уменьшается в размерах, легче проводить операционное вмешательство.
Вернуться к оглавлению. Используется внутриполостное введение иммуномодуляторов вакцина.
Эффективно на ранних стадиях заболевания. Отсутствие возобновления развития патологии после терапии достигает. Чем выше стадия патологии, тем ниже эффективность терапии. Иммуно терапия противопоказана больным, с любой активной формой туберкулеза. Вернуться к оглавлению. Этот комплексный метод основывается на биохимической теории рака, которую исследуют ученые всего мира. В ней говорится о том, что раковые клетки вызываются грибками трихо монадами. Во время лечения специалисты обращают внимание на само новообразование, но никто не занимается грибковой инфекцией. Ученые убеждены, что именно использование лекарства. Трихопол вместе с созданной в организме кислой средой, помогут навсегда избавиться от раковых клеток.
Ученые убеждены, что раковые клетки вызываются грибками трихо монадами, поэтому использование лекарства. Трихопол эффективно. Такое лечение можно отнести, скорее всего, к народной медицине. Врачами доказано, что это лекарственное средство не лечит грибковые заболевания. А многократные исследования довели, что раковые клетки это мутированные родные клетки организма. |