> Перейти на ГЛАВНУЮ Зубы могут быть индикатором возрастаОпубликовано: 9.12.2009
Развитие третьего моляра зуба мудрости может не произойти вообще, при врожденной адентии третьих моляров, что также считается нормой. Возможна и другая ситуация зуб мудрости закладывается в толще челюсти, но не прорезывается изза неправильного положения или недостатка места в челюсти. Такая ситуация встречается очень часто.
После прорезывания всех молочных зубов между ними отсутствуют тремы щели, промежутки, что является нормой. Но по мере роста челюсти перед сменой молочных зубов на постоянные должны появляться промежутки между молочными зубами. Этот процесс необходим, так как постоянные зубы по размеру больше молочных и если промежутки не образуются, то постоянные зубы не помещаются в челюсти и ребенок получает кривые постоянные зубы. Параллельно с образованием промежутков между временными зубами, происходит рассасывание корешков молочных зубов, после чего зубы поочередно расшатываются и выпадают. Сейчас даже существует мода покупать коробочку из золота или серебра для хранения первых зубиков. Общего мнения о нормальных сроках прорезывания зубов не существует, так как научные исследования разных авторов проводились в разных регионах и в разные года прошлого и нашего столетия. Прорезывание зубов может сопровождаться повышенной возбудимостью ребенок становится беспокойным, капризным, часто с плачем просыпается по ночам, может отказываться от еды. В то же время, малыш тащит в рот любой предмет, поскольку жевание уменьшает зуд раздраженных десен. Резко усилено выделение слюны, которая, вытекая изо рта, может вызывать раздражение кожи. Нередко на щеке со стороны прорезывающегося зуба появляется ограниченный участок красноты или сыпи. Температура у ребенка может повышаться до субфебрильных значений в пределах. Однако лихорадка не обязательно сопровождает прорезывание зубов. Какие средства смягчают боль. Самое простое холод. Холод облегчает боль и уменьшает отек. Если это не помогает, можно использовать для смазывания десен стомато логический гель или мазь, содержащие противовоспалительные и обезболивающие средства. При необходимости можно дать ребенку обезболивающий препарат.
Применять любые медикаментозные препараты следует только по назначению врача. На фоне прорезывания зубов может развиться та или иная инфекция. Поэтому при появлении у малыша таких симптомов, как тошнота, рвота, боль в ухе, понос, кашель, сыпь, стойкая потеря аппетита или высокая температура, необходимо обратиться к врачу. Нет чёткого понятия поздно прорезались, вернее сроки прорезывания зубов это относительные общепринятые сроки, а не строгие данные. Эти сроки определенны по средним значениям и зависят от неонатальных как прошли роды показателей, физической конституции, индивидуальных особенностей малыша и т. Так что в какой бы срок не прорезались зубы, именно этот срок является нормальным для этого ребёнка. 
Кстати, это же относится и к прорезыванию постоянных зубов и зубов мудрости. Только в редких случаях явных паталогий сроки прорезывания действительно могут быть аномальными. К сожалению это не так сроки прорезывание зубов и их качество никак не связаны. Нет, эти препараты никак не влияют на процесс прорезывания. Они все прошли клиническую апробацию и естественно не имеют побочных действий. Единственное ограничение, это аллергичные дети, но и для них есть успокаивающее средство. Почти все подобные гели содержат лидокаин и инертные наполнители ментол для охлаждения, вкусовые добавки и вяжущие средства. Можно посоветовать следующие препараты.
Дентинокс. Калгель он сладкий, не стоит пользоваться при диатезе. Камистад очень эффективен, но применять надо умеренно. Солкосерил дентальная паста есть для наружного применения, не перепутайте особенно эффективен если есть кровоточащие раны или болезненные язвочки. Бэйби при аллергии на лидокаин. Успокаивающие гели не надо применять по определённому режиму как например антибиотики. Болит мажете, не болит не мажете. Но особенно не увлекайтесь, больше раз в день и больше х дней подряд лучше не применяйте. Медикаментозно никак. Проверенный годами метод это мягкий массаж дёсен. Чистым пальцем нежно массируйте десну и ребёнку станет легче, да и зуб прорежется чуть быстрее. Только не нажимайте сильно, не травмируйте. Обычно дают ребёнку пососать холодную ложку, нолучше немного подержать пустышку в холодильнике и дать ребёнку. Есть специальные прорезыватели с охлаждающей жидкостью. Помещаете в холодильник. Потом даете ребенку погрызть. При прорезывании зубов, слизистая оболочка частично разлагается лизис. Активную роль при этом играют ферменты слюны. Как известно количество слюны при прорезывании зубов увеличивается. Это связанно именно с процессом лизиса. При этом действительно может измениться вязкость, цвет и запах слюны. Кроме этого в слюне содержатся слабые анти бактериальные вещества предотвращающие заражение ранки, образующейся при прорезывании зуба. Их активное влияние так же может изменить нормальные свойства слюны. Ещё в полость рта попадает некоторое количество крови, при разложении которой также может возникнуть кисловатый металический запах. 
Небольшое повышение температуры при прорезывании зубов это нормально. Если температура очень высокая, в этом виновата уже какалибо инфекция, а не непосредственно зубки.
Внимание прорезывание зубов не должно вызывать сильный жар, понос, рвоту, полную потерю аппетита, судороги и удушье. При возникновении этих симптомов, даже если вам кажется, что они связаны с зубами, обратитесь к врачу. Также не рекомендуется давать ребенку жаропонижающее и обезболивающее средство сироп, свечи без консультации с врачом и при температуре тела ниже. Всё индивидуально, но в основном гипертермия и диарея лишь вторичные признаки прорезывания зубов. Для совсем маленького организма это тяжёлый физиологический перелом. Сейчас большинством педиатров и физиологов признаётся, что повышенная температура при прорезывании зубов, это скорее всего реакция на воспаление слизистой оболочки полости рта.
На месте выхода зубов образуется ирритация, часто рана от трения и по причине лизиса, не редко рана инфицируется. Так чтоповышение температуры вызвано не самим механизмом формирования зуба, а с осложнениями. Одним из аргументов в пользу этого мнения является то, что при прорезывании постоянных зубов, не смотря на схожесть гисто логических и физиологических изменений, подобных симптомов почти не бывает. Возникновение симтомов простуды и диареи объясняется резким изменением диеты и режима питания, постоянными инородными предметами во рту и нарушением микрофлоры, а также ослаблением местного иммунитета в носоглотке. Отсюда можно сделать вывод, что если повышенная температура и жидкий стул продолжаются слишком долго больше х часов, то причина скорее всего действительно не в прорезывании зубов. Расширение промежутков между зубами.
Оно может отражать усиленный рост челюстей и в переходный период от молочных зубов к постоянным расценивается как нормальное состояние. Широкая щель между передними резцами на верхней челюсти обычно связана с глубоко расположенной уздечкой верхней челюсти. Тактику наблюдения и лечения широкого просвета между зубами определяет врачортодонт.
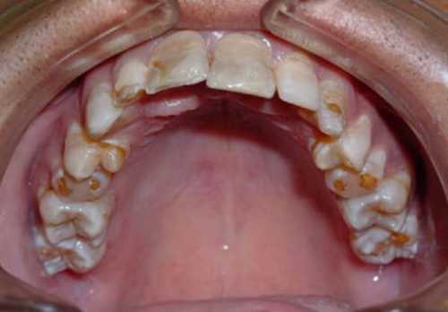
Черноватая окантовка на шейке зуба может быть при употреблении растворимых препаратов железа или хроническом воспалите льном процессе осаждение бактерий группы лептотрихий. Желтовато коричневое окрашивание зубов чаще связано с употреблением антибиотиков матерью во второй половине беременности или ребенком в период формирования зубов. Желтовато зеленоватое окрашивание развивается при тяжелых нарушениях обмена билирубина и гемолитических разрушение эритроцитов состояниях. Красноватое окрашивание эмали зубов характерно для врожденного нарушения обмена пигмента порфирина. Это заболевание называется порфирией. Аномалии прикуса возникают изза неравномерного роста челюстей, изза длительного сосания сосок. Аномалии расположения зубов возникают по конституциональным причинам малые размеры челюсти, изза травм, при врожденном нарушении обмена соединительной ткани, при опухолях альвеолярного отростка челюсти. Отсутствие зубов до года крайне редко связано с адентией отсутствием их зачатков. Проверить наличие зубных зачатков можно с помощью специального метода радиовизиографии по назначению детского стоматолога.
Своевременный, в определенной последовательности рост зубов свидетельствует о нормальном развитии организма малыша. Это физиологический процесс и находится он в прямой связи с общим состоянием здоровья ребенка. Но рассмотрим некоторые нетипичные ситуации, которые косвенно могут говорить о наличии патологии. Впрочем, лишь косвенно. Еще раз оговоримся, что только тщательное исследование может подтвердить или опровергнуть эти предположения. Задержка сроков прорезывания дольше чем на месяца от нормы может быть следствием рахита, инфекционного заболевания, продолжительного нарушения функции кишечника и изменений в обмене веществ. Более раннее прорезывание зубов ранее месяцев до нормы может свидетельствовать об эндокринных нарушениях. Нарушение очередности, отсутствие того или иного зуба также может быть результатом какихто аномалий в здоровье ребенка существуют единичные случаи, когда отсутствуют даже зачатки зубов или быть следствием перенесенных матерью заболеваний в период беременности. Прорезывание зуба вне дуги зубного ряда может быть вызвано неправильным положением оси зуба горизонтальное или косое. Неправильное формирование самого зуба размер, форма, положение, цвет, недостаток эмалевого покрытия и т. Причины этих явлений должны быть проанализированы специалистом. Появление зубов еще до рождения. Такие ситуации встречаются крайне редко. Такие зубы мешают ребенку сосать грудь матери, обычно их удаляют. Регулярно потирайте лицо малыша специальным полотенцем, чтобы удалить слюну и предотвратить раздражение на коже, лучше не тереть а аккуратно промакивать слюну, чтобы не вызвать раздражение вокруг ротика. Кладите чистую плоскую тканевую салфетку под голову ребенка для впитывания стекающей слюны. Когда салфетка намокнет, вам не придется перестилать простыню. Дайте ребенку чтонибудь погрызть. Убедитесь, что это достаточно большой предмет, так что ребенок его не проглотит и не разгрызёт на мелкие кусочки.
Влажная махровая мочалка, помещенная в морозилку на минут может быть хорошим решением, только не забывайте стирать ее после каждого использования. Специальные кольца для прорезывания, которые продаются в аптеках, тоже эффективны. Вы используете кольца, не заморажи вайте их в морозильной камере до состояния камня, чтобы не повредить слабые десны. Никогда не привязывайте кольцо для прорезывания на шею ребенку, чтобы он не запутался в ленте.
Аккуратно массируйте десны ребенка чистым пальцем. Ни в коем случае не кладите аспирин или другие таблетки на зубы, не втирайте спирто содержащие растворы в десны. Ваш ребенок плохо себя чувствует, может помочь парацетамол в детской дозировке. НО ПРЕЖДЕ ВСЕГО ПРОКОНСУЛЬТИРУЙТЕСЬ С ВРАЧОМКогда зубы появились, за ними нужно начинать ухаживать. Ребенку до года можно чистить зубы раз в день специальной щеточкой из мягкого пластика надевается на мамин палец. |